![]() |
インプラント 訪問介護 口臭治療 審美歯科 矯正歯科 小児歯科 岡野歯科医院 TEL 079ー492−6767 |
|||||||||||||||||
| 医院案内 | 設備紹介 | 院長紹介 | ||||||||||||||||
|
||||||||||||||||||
| 歯の治療が怖い方へ | 訪問診療、介護保険による口腔管理 | 症例集 | ||||||||||||||||
|
|||||||||||||||||||||||||||||||||||
|---|---|---|---|---|---|---|---|---|---|---|---|---|---|---|---|---|---|---|---|---|---|---|---|---|---|---|---|---|---|---|---|---|---|---|---|
まだまだ、ほんの一部ですが 典型的な症例を集めてみました。 最新で最良そして低治療費で皆様の口腔環境を良く出来ればと思っています。
|
|||||||||||||||||||||||||||||||||||
|
|||||||||||||||||||||||||||||||||||
| @上顎総入れ歯からインプラントブリッジ(ノーベルバイオケア使用症例) | |||||||||||||||||||||||||||||||||||
![]() |
|||||||||||||||||||||||||||||||||||
| このように上には、壊れた根が1本あるだけの総入れ歯をされていました。 | |||||||||||||||||||||||||||||||||||
|
|||||||||||||||||||||||||||||||||||
| ハーバード大学では、Dr.Galluciが上下無歯顎の場合、下顎では6本、上顎では8本のインプラントを推奨していました。 ハーバード大学では、ストローマンインプラントを使用しています。 |
|||||||||||||||||||||||||||||||||||
![]() |
|||||||||||||||||||||||||||||||||||
| CTを撮って、骨の硬さ(当院のように医科用のCTでないと正確な値が出ません)、骨の幅、上顎洞までの距離などを参考に コンピュータでシミュレーションしながらインプラントの形、サイズ、埋める方向を検討します。 |
|||||||||||||||||||||||||||||||||||
![]() |
|||||||||||||||||||||||||||||||||||
| 顎の骨が硬い場合は、円筒状のストローマンインプラントでも良いですが この症例のように日本人の女性の場合は、顎も小さくしかも骨が軟らかいためノーベルのように 円錐状になっていて骨を押し固めながら埋めることができるのが好ましいです。 また、この手術の時は、前日の夜から落ち着く薬を飲んでいただきゆっくりと休まれました。 当日も笑気麻酔をして気持ち良くて、うつらうつらしている間に手術が終わったというのが患者さんの感想でした。 |
|||||||||||||||||||||||||||||||||||
![]() ![]() |
|||||||||||||||||||||||||||||||||||
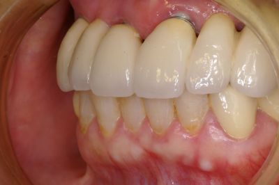
入れ歯と違って見た目も若々しく、しかも自分の歯のように何でも良く噛めるので 非常に満足されています。 |
|||||||||||||||||||||||||||||||||||
| A手術当日に仮歯のブリッジが入るオールオン6 (ノーベルバイオケア使用症例) |
|||||||||||||||||||||||||||||||||||
![]() |
|||||||||||||||||||||||||||||||||||
| この症例の場合は、顎の骨の幅は、あまり広くはなかったですが 上顎洞までの距離があって13mmの長さのインプラントを選択することができたので 6本のインプラント(条件が整えばノーベルバイケアインプラント推奨)で行いました。 |
|||||||||||||||||||||||||||||||||||
![]() |
|||||||||||||||||||||||||||||||||||
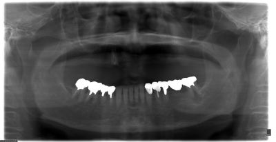
| これは、インプラントを入れた当日に仮の歯をブリッジにしていれた状態のレントゲンです。 インプラントを埋入するときのトルクが35N(ニュートン)から40Nの範囲で埋めることができないと その場で仮歯を入れて咬めるようにして帰っていただくこと(即時荷重)が出来ません。 骨がある程度硬くないと無理ですし、また、軟らかい骨でも削るのではなく押し広げるように形成することによって このトルクを作るようにします。 最初のドリルの感じで、どのように押し広げれば 適正なトルクで埋入することが出来るかがイメージ出来なければ無理です。 また、骨の幅がギリギリでシミュレーションとの誤差が0.3mm以内の精度でしかも方向を合わせなければいけません。 文字通り職人技です。 これが出来る歯科医師は、兵庫県でも極少数だと自負しております。 |
|||||||||||||||||||||||||||||||||||
![]() |
|||||||||||||||||||||||||||||||||||
先の症例@の方と同じく、笑気麻酔などを使用しました。 総入れ歯と、このようになるのとでは咬めることはもちろん、気分が違ってきて若返られています。 |
|||||||||||||||||||||||||||||||||||
| 上顎の症例ばかりですが、一般的に下顎は上顎に比べて骨が硬くインプラントが埋めやすいです。 特に、困難と思われる上顎の一気に全てを埋入する症例を出しました。 |
|||||||||||||||||||||||||||||||||||
| インプラントを埋めて歯を入れる技術も大事ですが、 インプラントを長持ちさせるようにすることも非常に大事です。 それには、歯周治療の技術も関係してきます。 |
|||||||||||||||||||||||||||||||||||
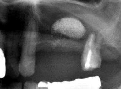
| B上顎洞底挙上術(サイナスリフト) | |||||||||||||||||||||||||||||||||||
| 上顎骨の内部には上顎洞と呼ばれる大きな空洞が存在します。 この空洞は様々な要因がきっかけとなり、拡大する傾向を持っています。 さらに、歯がなくなると歯槽骨も吸収しますので、上顎においては歯槽骨側と上顎洞側から骨吸収が進行することも少なくないのです。 そこで、膨らんできた上顎洞に移植骨や骨補填材、最近ではインプラント本体の一部を挿入して、 上顎洞の底部分を押し上げる技術があります。これが上顎洞底挙上術です。 もっと簡単なソケットリフト(インプラントを埋めるときに同時に人工骨などを填入して上顎洞を挙げる手術) もありますが、骨の厚みがかなり薄くて(1mm〜2mm)、ソケットリフトが出来ない場合に この上顎洞底挙上術(サイナスリフト)が行われます。 これが出来る技術を持っていることは、上顎に対してほとんどの症例でインプラントが可能になることを意味します。 |
|||||||||||||||||||||||||||||||||||
|
|||||||||||||||||||||||||||||||||||
| 側面の骨から、シュナイダー膜(上顎洞粘膜)を押し上げて人工骨を填入しました。 副作用もなく、順調に定着しました。 |
|||||||||||||||||||||||||||||||||||
|
|||||||||||||||||||||||||||||||||||
|
|||||||||||||||||||||||||||||||||||
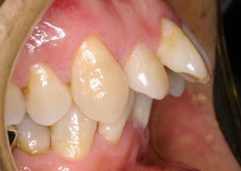
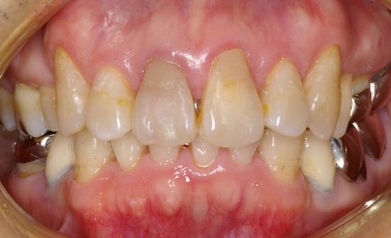
| @上顎前突(矯正用インプラント使用症例) | |||||||||||||||||||||||||||||||||||
かなり重度の上顎前突症例です。 バードフェイス(鳥貌)と言われる横顔で、以前(2000年頃まで)は矯正不可能と言われていた症例ですが 矯正用インプラント(矯正用ビス)を入れることにより、短期間で改善できた例です。 尚、矯正用インプラントは、力がかかる時だけ入れるもので使用後は簡単に外せます。 矯正用インプラントは、2000年頃より日本に導入された治療法です。(詳しくは、コチラ) もちろん、矯正用インプラントを使用しなくても治る症例も沢山あります。 |
|||||||||||||||||||||||||||||||||||
|
|||||||||||||||||||||||||||||||||||
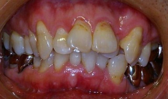
上顎の歯槽骨までも後ろに後退させて側貌も改善されています。(顔は伏せています。) 歯並びだけではなく、顔の見た目も改善することが矯正の目標と考えています。 また、歯列もV字型の咬み合わせからU字型になって咬み合わせも良くなり、口元の審美性も改善されています。 |
|||||||||||||||||||||||||||||||||||
| また、矯正期間をかなり短縮できる利点があります。 矯正期間1年6カ月 欠点は、インプラントを埋めることですが、小さなビス(長さ8mm直径1.8mm程度)なので簡単に出来ます。 また、インプラントを除去後は、粘膜、骨は完全に元に戻りますので心配いりません。 |
|||||||||||||||||||||||||||||||||||
▲は、13:30〜17:00まで 休診日:木曜、日曜、祝祭日 但し、祝祭日のある週は、木曜日、午前中のみ診察することあり。
|
|||||||||||||||||||||||||||||||||||||
| 医院案内 | 設備紹介 | 院長紹介 | ||||||||||||||||
|
||||||||||||||||||
| 歯の治療が怖い方へ | 訪問診療、介護保険による口腔管理 | 症例集 | ||||||||||||||||
| Copyright (C) Okano Dental Clinic All rights reserved | ||||||||||||||||||